Angiografía Panorámica

Angiografía Panorámica

La Angiografía Panorámica nos permite analizar los vasos sanguíneos de la retina en un campo de visión ampliado, proporcionando una perspectiva más completa que los estudios tradicionales.

Es un examen vital para detectar alteraciones vasculares en etapas iniciales.

Indicaciones frecuentes:

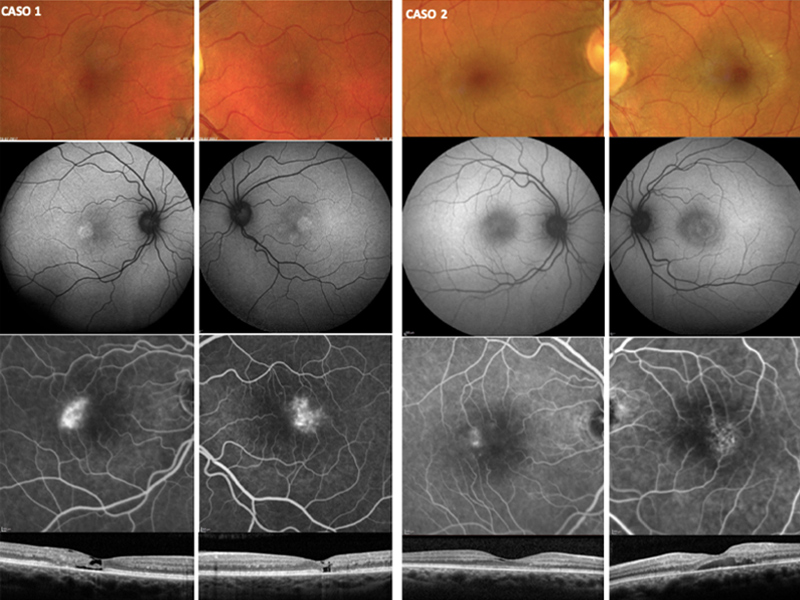
Angiografía con fluoresceína

Es un examen ocular en el que se usa un tinte y una cámara especiales para examinar el flujo sanguíneo en la retina y la coroides. Estas son las dos capas en la parte posterior del ojo.

¿Qué es la angiografía ocular con contraste o angiografía con fluoresceína?

La angiografía ocular con contraste consiste en inyectar por la vena una sustancia colorante hidrosoluble denominada fluoresceína sódica

A continuación, a través de una cámara fotográfica, se visualizan la retina y la coroides en tiempo real y se toman imágenes del estado de la circulación de los vasos sanguíneos.

Para registrar las imágenes (fotografías o vídeos) de la retina se utiliza un instrumento llamado angiógrafo ocular, que es capaz de lanzar un flash y registrar el paso del contraste por la totalidad de los sistemas vasculares del segmento posterior del ojo.

¿Cuándo es recomendable hacer una angiografía?

La angiografía ocular es una prueba diagnóstica que se utiliza para detectar diversas enfermedades del globo ocular, pero sobre todo aquellas que están asociadas a la retina y la coroides.

Se suele realizar cuando el médico sospecha que existe alguna anomalía en las estructuras posteriores del ojo.

Es una de las mejores pruebas para:

  • Detectar degeneración macular asociada a la edad, principal causa de pérdida de visión en personas mayores de 50 años.
  • Diagnosticar retinopatía diabética y tratar a tiempo dicha afección para evitar pérdida de la visión.
  • Descartar una enfermedad venosa oclusiva, inflamaciones, tumores retinianos y lesiones en la mácula.
Tratamientos modernos y efectivos